Case Report - Year 2025 - Volume 40Issue 1
Síndrome de Dandy-Walker: Relato de caso
Dandy-Walker Syndrome: Case Report
RESUMO
A síndrome de Dandy-Walker (SDW) é uma condição neuro desenvolvimental rara caracterizada por anomalias na fossa posterior do crânio, com implicações clínicas significativas que incluem atrasos no desenvolvimento motor e cognitivo, além de outras alterações sistêmicas. Este estudo apresenta o caso de uma criança de 3 anos diagnosticada com SDW e sem hidrocefalia associada. São discutidos os aspectos clínicos, genéticos e terapêuticos com base em uma revisão da literatura dos últimos 5 anos, visando compreender melhor a variabilidade fenotípica e as melhores abordagens diagnósticas e terapêuticas.
Palavras-chave: cisterna magna; encefalopatias; hidrocefalia; síndrome de Dandy-Walker; vérmis cerebelar
ABSTRACT
Dandy-Walker syndrome (DWS) is a rare neurodevelopmental condition characterized by abnormalities in the posterior fossa of the skull. It has significant clinical implications, including systemic alterations and delayed motor and cognitive development. The current study presents the case of a 3-year-old child with DWS and no hydrocephalus. We discuss the clinical, genetic, and therapeutic aspects of DWS based on a review of the literature from the past 5 years. We aim to elucidate the phenotypic variability and determine the best diagnostic and therapeutic approaches.
Keywords: brain diseases; cerebellar vermis; cisterna magna; Dandy-Walker syndrome; hydrocephalus
Introdução
A síndrome de Dandy-Walker (SDW) foi descrita pela primeira vez em 1914 como um complexo de anomalias cerebelares envolvendo hipoplasia ou agenesia do vérmis cerebelar, dilatação do quarto ventrículo e aumento da cisterna magna.1 Essa condição representa cerca de 4% das malformações cerebrais congênitas, com incidência estimada em 1:25 mil a 1:35 mil nascidos vivos.2
A etiologia da SDW é multifatorial, envolvendo fatores genéticos, ambientais e epigenéticos. Anomalias cromossômicas, como deleções ou duplicações em regiões específicas (como 3q24-q27 e 16p11.2), estão frequentemente presentes.3
Exposição materna a toxinas, infecções virais (como rubéola e citomegalovírus) e diabetes gestacional também são fatores de risco documentados.4 Relatos recentes têm destacado a associação da SDW com anomalias oculares, como microftalmia e miopia, sugerindo uma possível relação entre o desenvolvimento cerebral e ocular.5
As manifestações clínicas variam amplamente, indo de assintomáticas a quadros graves com atraso psicomotor, convulsões e alterações visuais, como no caso relatado.6 A presença ou ausência de hidrocefalia é um determinante crítico para o manejo clínico e prognóstico.7
O avanço na neuroimagem, especialmente a ressonância magnética (RM), transformou o diagnóstico da SDW. Essa modalidade permite a avaliação detalhada das estruturas cerebelares e ventriculares, auxiliando na diferenciação entre SDW clássica, variantes e condições similares.8
Este artigo busca discutir um caso clínico relevante e revisar os avanços recentes na compreensão da SDW, com foco em diagnóstico, manejo e implicações prognósticas.
Relato de Caso
Uma criança do sexo masculino, de 3 anos de idade, foi trazida pela tia paterna devido a cegueira no olho direito e alterações sindrômicas. O histórico familiar revelava múltiplos casos de cegueira e hidrocefalia. O exame físico identificou microftalmia à direita e miopia significativa no olho esquerdo. A ►Fig. 1 mostra uma imagem da face, em visão anterior, sendo observados microftalmia e aspecto sindrômico;
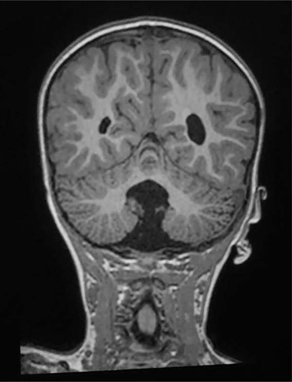
A RM do crânio revelou hipoplasia do vérmis cerebelar, dilatação do quarto ventrículo e comunicação com a cisterna magna sem sinais de hidrocefalia. (►Fig. 2) Não foram observadas alterações esqueléticas ou renais.
Como a criança não apresentou sinais de aumento da pressão intracraniana, avalidado pelo oftalmologista, a partir de exame de fundo de olho; visto um grau de miopia acentudada, prescreveu lentes para ambos os olhos, mesmo para o olho sem visão, com o intuito de melhorar o equilíbrio. Foi investigada a possibilidade de retinoblastoma, que foi sendo negativo; optou-se então por acompanhamento clínico regular, enfatizando o manejo oftalmológico e terapias multidisciplinares. Uma avaliação neuro-psico-motora e do desenvolvimento da criança foi realizada por uma neurologista pediátrica e pela equipe de psicologia, por meio da qual foi diagnosticado um certo déficit cognitivo e de aprendizado, e a família recebeu orientações de como proceder no tocante a essas questões. Durante a obtenção do histórico familiar, foi relatado que o pai da criança foi submetido à derivação ventrículoperitoneal na infância e, em seguida, evoluiu com cegueira bilateral. Foi relatado também que a mãe da criança apresenta cegueira bilateral e o avô materno, cegueira em apenas um olho.
Discussão
Estudos recentes apontam para um componente genético significativo na SDW, com associações a mutações em genes reguladores do desenvolvimento cerebral (como ZIC1 e FOXC1).7 A história familiar no caso relatado reforça a importância de investigar alterações genéticas, especialmente em contextos de consanguinidade ou histórico de malformações congênitas.3
A literatura descreve um amplo espectro de apresentações clínicas, que vai desde sintomas leves, como dificuldade de equilíbrio, até comprometimentos graves do desenvolvimento psicomotor.6 A ausência de hidrocefalia no caso aqui discutido é um achado relevante, pois é relatada em até 70% dos pacientes com SDW e geralmente requer manejo cirúrgico.1
O histórico familiar de cegueira sugere uma possível herança genética, embora nenhuma mutação específica tenha sido identificada até o momento. Nesse caso específico, não houve a possibilidade de avaliar os familiares, pois não foram localizados, com exceção do pai, cujo prontuário não foi possível averiguar. Os dados da literatura recente apontam para a participação de genes envolvidos no desenvolvimento cerebral e ocular, como ZIC1 e ZIC4, na patogênese da SDW.5 A RM é o método diagnóstico mais preciso para SDW.8 O uso de biomarcadores genéticos, ainda em desenvolvimento, pode melhorar a precisão diagnóstica e identificar indivíduos com maior risco de complicações.9 No caso relatado, a ausência de sinais clínicos de hidrocefalia orientou a decisão por manejo conservador.
O tratamento da SDW é baseado na gravidade dos sintomas. Casos sem hidrocefalia podem ser manejados com fisioterapia, terapia ocupacional e suporte psicopedagógico.4 O acompanhamento multidisciplinar é crucial para otimizar o desenvolvimento da criança.
No caso aqui apresentado, a criança foi atendida pelo autor por esmagamento de um dedo da mão, que foi tratado na emergência e encaminhado ao ambulatório do autor para dar continuidade ao acompanhamento do trauma de mão. Como a criança apresentava face com aspecto sindrômico, foi solicitado uma RM de crânio, no laudo da qual o próprio radiologista já sugeriu o diagnóstico em questão.
O diagnóstico precoce da SDW é crucial para o prognóstico clínico e para uma abordagem eficaz no desenvolvimento neuropsicomotor da criança. O diagnóstico precoce permite intervenções terapêuticas oportunas, que podem melhorar significativamente os desfechos neurológicos e funcionais. A intervenção precoce é fundamental para otimizar o desenvolvimento neuropsicomotor em crianças com SDW. Programas de estimulação precoce, fisioterapia, terapia ocupacional e fonoaudiologia devem ser iniciados o mais cedo possível para abordar atrasos no desenvolvimento motor e cognitivo. Estudos de caso demonstram que crianças que recebem intervenções terapêuticas precoces apresentam melhores habilidades motoras e de linguagem em comparação com aquelas que iniciam o tratamento tardiamente.10
Além disso, o acompanhamento regular por uma equipe multidisciplinar permite ajustes nas estratégias terapêuticas conforme a criança cresce, abordando necessidades específicas e promovendo a máxima independência funcional possível.10
Conclusão
A SDW é uma condição complexa, com ampla variabilidade clínica e prognóstica. O presente caso ilustra a importância do diagnóstico precoce e da abordagem multidisciplinar para o manejo ideal. Estudos futuros devem focar em avanços genéticos e terapêuticos, permitindo uma compreensão mais profunda da condição e melhorias no manejo clínico.7
References
1. Pandey S, Bhattarai S, Khatri P. Prenatal ultrasound diagnosis of Dandy-Walker syndrome at 22 weeks of gestation: A case report. J Clin Images Med Case Rep 2024;5(11):3364. Doi: 10.52768/2766-7820/3364
2. Parisi MA, Dobyns WB. Malformations of the Cerebellum and Brainstem. Neuroimaging Clin N Am 2020;30(03):367-380
3. Elsayed LEO, AlHarbi NA, Alqarni AM, Eltayeb HHE, Mostafa NMM, Abdulrahim MM, et al. Chromosome 16p11.2 microdeletion syndrome with microcephaly and Dandy-Walker malformation spectrum: expandinb the known phenotype. Hum Genomics 2020;18(01):95. Doi: 10.1186/s40246-024-00662-0
4. Baidi H, Radi A, Laaraje A, Ourrai A, Hassani A, Abilkassem R. Interstitial deletion of the long arm of chromosome 3, del (3) (q25-q27), in association with Dandy Walker malformation: A case report. World Journal of Advanced Research Reports 2024;23 (03):2239-2244. Doi: 10.30574/wjarr.2024.23.3.2806
5. Aldinger KA, et al. Cerebellar and Ocular Anomalies in Dandy- Walk Malformation: A Case Series. J Child Neurol 2021;36(05): 412-418
6. Spennato P, et al. Ocular Manifestations in Dandy-Walker Syndrome: A Systematic Review. Eur J Ophthalmol 2020;30(04): 678-685
7. Grinberg I, Millen KJ. Genetic Insights into Dandy-Walker Malformation. Genet Med 2022;24(03):567-575
8. Goergen SK, et al. PHACE syndrome: Expanding the phenotype. J Med Imaging (Bellingham) 2021
9. Beyene BG, Abera MT, Zeleka TA, Dhuguma AA. Armored brain as a late complication of CSF overshunting: A rare case report. Radiol Case Rep 2024;20(01):342-345. Doi: 10.1016/j.radcr.2024.10.020
10. Sun Y, Wang T, Zhang N, Zhang P, Li Y. Clinical features and genetic analysis of Dandy-Walker syndrome. BMC Pregnancy Childbirth 2023;23(01):40. Doi: 10.1186/s12884-023-05367-1
1. Serviço de Cirurgia Plástica, Instituto Dr. José Frota (IJF), Fortaleza-, CE, Brasil
Endereço para correspondência
Joaquim José de Lima Silva, Serviço de Cirurgia Plástica, Instituto Dr. José Frota (IJF), -Fortaleza, CE, Brasil (e-mail: cirurgiaoplastico@joaquimjose.med.br jjdelimasilva@gmail.com).
Article received: January 25, 2025.
Article accepted: July 14, 2025.
Conflito de Interesses
O autor não tem conflito de interesses a declarar.







Read in Portuguese
Read in English
PDF PT
Print
Send this article by email
How to Cite
Mendeley
Pocket
Twitter